Профілактика та гігієна

Професійна гігієна зубів у Києві

Ультразвук, Air Flow, полірування та рекомендації лікаря за один візит.

Акційна ціна: 1100 грн (замість 2200 грн)

Процедура допомагає зменшити ризик карієсу, запалення ясен і появи неприємного запаху з рота.

Професійна гігієна зубів у клініці Dental Lab

Результати нашої роботи

Подивіться на ефект професійної гігієни

Після процедури
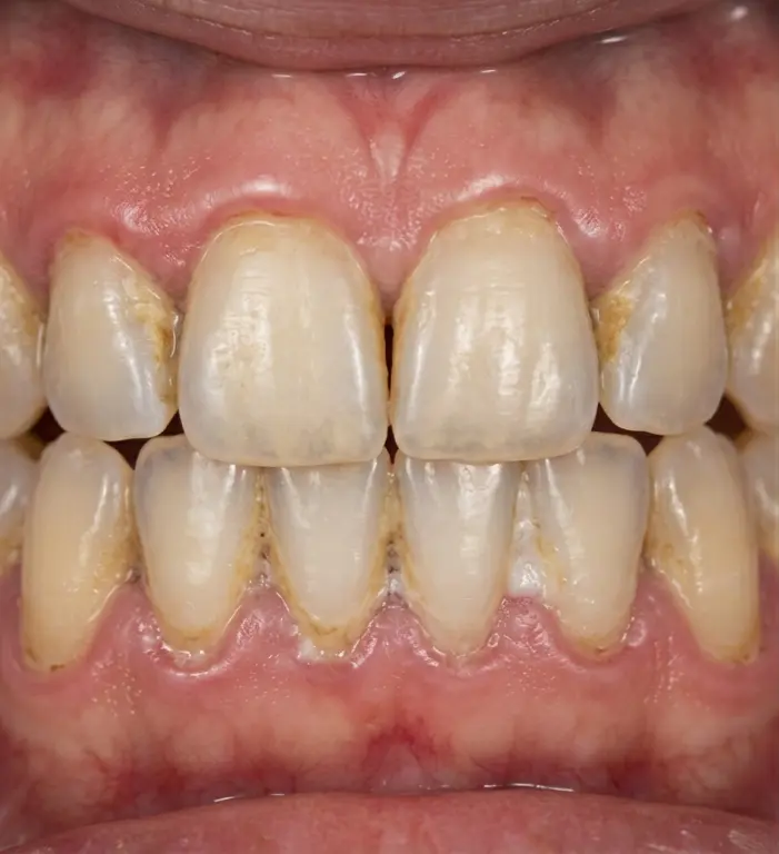
До процедури До
Після

Результат комплексної гігієни: видалення каменю ультразвуком, чистка AirFlow та полірування емалі.

Тривалість процедури: близько 60 хвилин.

Запишіться на чистку сьогодні, щоб повернути зубам природну білизну!

Що входить у професійну гігієну

Комплексна чистка складається з кількох етапів для якісного результату.

Огляд і діагностика

Оцінюємо стан ясен, каменю та зон, які потребують більшої уваги під час чистки.

Ультразвукове зняття каменю

Делікатно прибираємо твердий наліт навіть у важкодоступних ділянках зубного ряду.

Air Flow і полірування

Видаляємо м’який пігментований наліт і робимо поверхню зубів гладкою та світлішою.

Кому особливо рекомендована гігієна

Регулярна профгігієна особливо важлива для пацієнтів із підвищеним ризиком нальоту.

  • Пацієнтам з брекетами, ретейнерами або елайнерами.
  • Людям зі схильністю до утворення зубного каменю.
  • Після імплантації та протезування для підтримки довготривалого результату.
  • Перед відбілюванням або естетичними реставраціями.
  • Кожні 6 місяців як базова профілактика для більшості дорослих пацієнтів.

Як проходить процедура

У середньому гігієна займає один візит і не потребує складної підготовки.

1. Огляд

Лікар визначає обсяг роботи, виявляє зони з каменем та пігментами.

2. Чистка

Виконуємо ультразвук, Air Flow і полірування для комплексного очищення.

3. Рекомендації

Пояснюємо, як підтримувати результат вдома і коли прийти на наступну чистку.

Поширені запитання

Відповіді на часті питання про профгігієну.

Регулярна профгігієна дешевша за лікування ускладнень. Запишіться, якщо давно не чистили зуби професійно або відчуваєте накопичення каменю.

Записатися